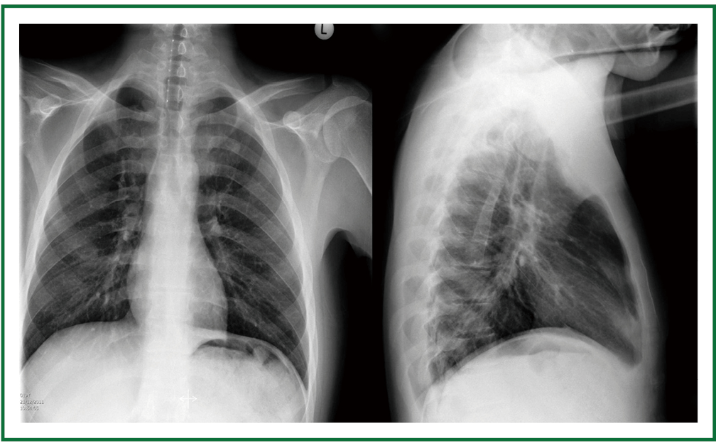
Tracheostomy Tube X Ray Chest X Ray Showed The Standard Tracheostomy Tube In The Correct
Unlike the et tube its position is maintained with neck flexion and extension.
Tracheostomy tube x ray. The present study was conducted to evaluate the utility of post tracheostomy x rays. The width of the tube diameter should be 23 rd of the tracheal width and the cuff should not distend the tracheal wall. Length cuff resting mm mm mm o mm 4 dct 4 50 94 62 20 6 dct 6 64 108 74 24 8 dct 8 76 122 79 27 10 dct 10 89 138 79 29 ref. Assoc prof craig hacking and dr aditya shetty et al.
It should lie parallel to the trachea. A full length x ray marker allows the position to be checked easily. Adult tubes are usually approximately 1 cm in. Tubes come in a variety of sizes and have a balloon at the tip to ensure that gastric contents are not aspirated into the lungs.
Flexible and adaptable ruesch tracheostomy tubes fit. Take a look at just one of the smiths medical. Variety from one hand tracheostomy tubes from ruesch are avail able in numerous versions. These tubes maintain airway patency and allow for mechanical ventilation of patients with respiratory failure.
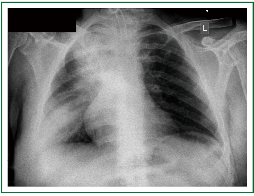
Endotracheal tubes ett are wide bore plastic tubes that are inserted into the trachea to allow artificial ventilation. The tracheoflex tubes to prevent kinking and compression. A tracheostomy is generally performed in patients who are intubated for longer than 1 3 weeks or who have upper. The trachea carina and main bronchi are almost always identifiable on a chest x ray image as long as the image is viewed on a high quality screen in a darkened room.
Cuffed tracheostomy tubes with disposable inner cannula dfen fenestrated and cuffed tracheostomy tube every pack contains one disposable inner cannula dic disposable fenestrated inner cannula available separately dicfen dct ref. Often the chest x ray findings do not change clinical management. A chest x ray is often acquired following placement of an endotracheal tube et tube to determine the position of its tip. James has over ten years experience as a.
Endotracheal tubes et tubes or tracheostomy tubes are cuffed conduits placed in the trachea either through the oropharynx or through a surgically created tracheostomy. A step by step guide to the preperation and use of a portex ultraperc percutaneous dilation tracheostomy kit. Critical care charge nurse project manager. This retrospective review of 255 patients.
The tip of the tracheostomy tube should be half way between the stoma and the carina at the level of the d3 vertebra. Evaluation of endotracheal tube position.


















































































